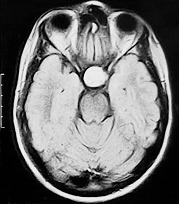
The T1 weighted MRI scan in axial view here demonstrates a macroadenoma of the pituitary that is bright with gadolinium enhancement. Pituitary adenomas may be functional, with secretion of a hormone that first produces symptoms.