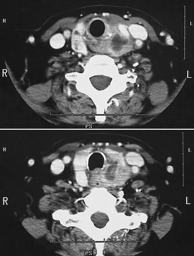
These serial views from a head CT scan demonstrates a mass with variable density in the left thyroid lobe. The mass impinges upon the trachea . The mass involved the recurrent laryngeal nerve, and produced the symptom of hoarseness.