 |
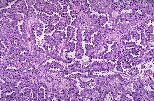
This is the microscopic appearance of a papillary carcinoma of the thyroid. The fronds of tissue have thin fibrovascular cores. The fronds have a papillary pattern. There is no such thing as a papillary adenoma, and all papillary neoplasms of the thyroid should be considered malignant. |