
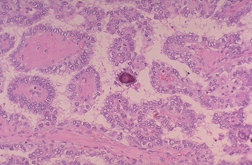
| This is another papillary carcinoma of thyroid. Note the small psammoma body in the center. The cells of the neoplasm have nuclei with a central clear appearance. Papillary carcinomas are indolent tumors that have a long survival, even when metastases occur. The most favorite site of papillary carcicnoma metastasis is to local lymph nodes in the neck. In fact, some papillary carcinomas may first be detected as a nodal metastasis. |
![]() |