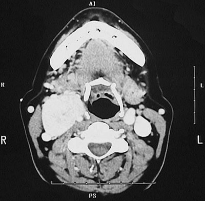
This axial head CT scan demonstrates a circumscribed mass on the right in the region of the carotid body that is consistent with a
paraganglioma
.