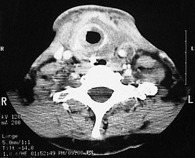
This axial head CT scan demonstrates an ill-defined infiltrative mass of the thyroid, consistent with an anaplastic carcinoma.