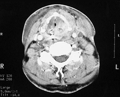
This head CT scan demonstrates an ill-defined infiltrative mass of the thyroid, nearly obliterating the trachea, consistent with an anaplastic carcinoma.