 |
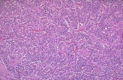
This is a paraganglioma of the carotid body. Neuroendocrine tissues include not only the adrenal medulla, but also the extra-adrenal paraganglion system including carotid bodies, aortic bodies, organ of Zuckerkandl, and chromaffin tissues scattered in other places such as bladder wall. Note the small nests of round cells surrounded by fibrous trabeculae with rich vascular supply. |