 |
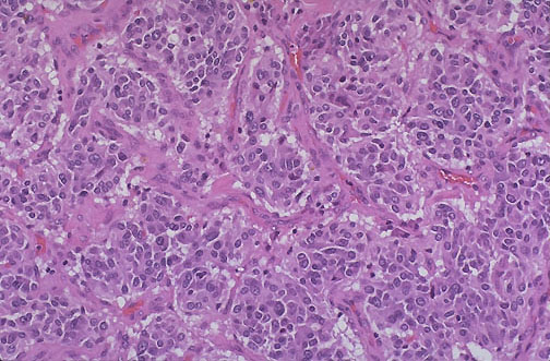
Extra-adrenal paragangliomas, like the carotid body tumor seen here at high power, are unlikely to function, though secretion of catecholamines is possible, and these neoplasms could be termed extra-adrenal pheochromocytomas. Though often small, they may recur or metastasize. Neurosecretory granules are often scant within the tumor cells by electron microscopy. |