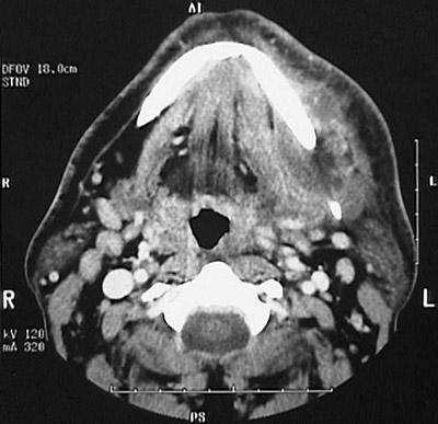
| In the axial CT scan view seen here, an odontogenic abscess has extended into soft tissues below the mandible with overlying soft tissue swelling. With modern dental care, this is easily preventable and treatable, but in ancient times it was a cause of death. |
![]() |