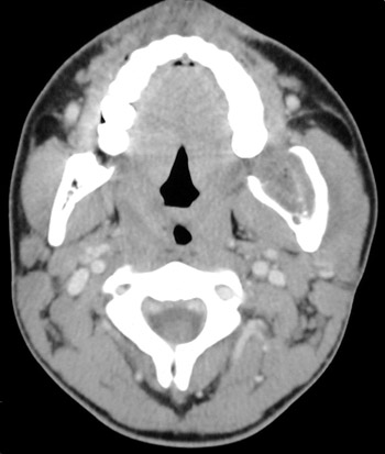
![]() | This head CT scan in "soft tissue window" demonstrates a mass lesion expanding the ramus of the left mandible of a teenage male. This is an ameloblastoma. The histologic pattern mimics the enamel organ of the tooth. Neoplasms of a related histologic appearance include craniopharyngiomas of the sella turcica and adamantinomas of long bone. |
![]() |