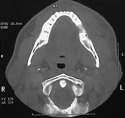
The head CT scan in axial view demonstrates an odontogenic abscess involving the first molar of the left mandible.