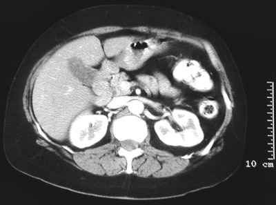
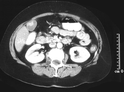
![]() | In the abdominal CT scan view above, there is an irregular mass within the lower portion of the gallbladder, with the inferior tip of the right lobe of liver adjacent to it. This mass proved to be an adenocarcinoma of the gallbladder. In the frame below, the gallbladder can be seen next to the liver. The gallbladder wall is irregular, and there are also scattered densities within the lumen, representing gallstones (up to 90% of gallbladder adenocarcinomas arise in association with gallstones). |
![]() |