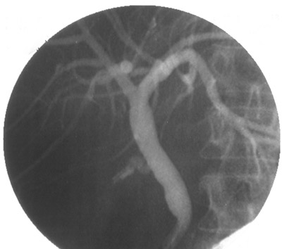
![]() | This radiograph was taken at the time of an endoscopic retrograde pancreatography (ERCP) procedure and the common bile duct is outlined along with the right hepatic duct and the left hepatic duct. No obstruction is present in this case. However, note the stump of the cystic duct from a previous cholecystectomy. |
![]() |