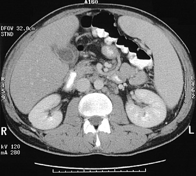
| The gallbladder in this abdominal CT scan revealed a thickened wall with edema fluid as a consequence of acalculous cholecystitis. This patient also had HIV infection, and possible opportunistic infections causing cholecystitis and cholangitis include cytomegalovirus and cryptosporidiosis. Note that there is also marked lymphadenopathy as well as splenomegaly. |
![]() |