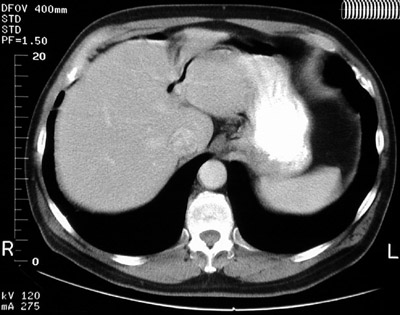
The
dark area
in the left lobe of liver seen in this abdominal CT scan represents pneumobilia, which rarely can complicate biliary tract lithiasis or neoplasia with fistula formation. Contrast fills the
stomach
. The
spleen
is present at the left.