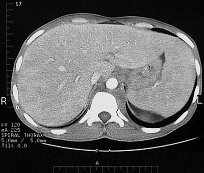
![]() | Immunocompromised persons can develop disseminated fungal infections that can affect many organs, particularly organs of the mononuclear phagocyte system. Thus, there is both hepatomegaly as well as splenomegaly seen here in a patient with disseminated histoplasmosis. The spleen and liver abut one another. The infectious foci containing the Histoplasma capsulatum organisms in macrophages are so small as to be invisible, but so numerous as to enlarge the affected organs. |
![]() |