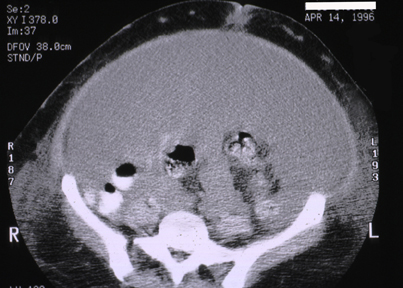
| These abdominal CT scans above and below reveal hepatic infarction with decreased attenuation (darker) caused by hepatic vein thrombosis with Budd-Chiari syndrome in a patient with anti-phospholipid syndrome. In the view above there is marked ascites. In the view below there is splenomegaly as well as more prominent subcutaneous veins (caput medusa) filled with bright contrast. In the view at the bottom of the page, below the level of the liver, there is abdominal enlargement from massive ascites. |
![]() |