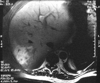
In these T1 weighted abdominal MRI scan views above and below can be seen an area of liver infarction caused by a portal vein thrombosis.