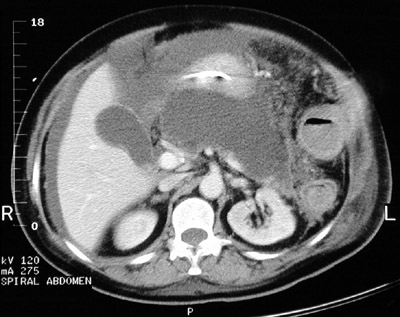
![]() | Here is a more florid example of acute pancreatitis seen in this abdominal CT scan. Note the large area of near fluid density in the region of the pancreas, representing marked necrosis that extends nearly to the gallbladder. There are surrounding peritoneal fluid collections as a result of the inflammation. |
![]() |