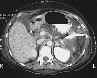
![]() | This CT scan with contrast of the abdomen reveals acute pancreatitis with decreased enhancement of the swollen pancreas from edema, hemorrhage, and fat necrosis. A percutaneous drain has been placed into the tail of the pancreas. A bright vascular clip is present in the region where the gallbladder was previously surgically removed. |
![]() |