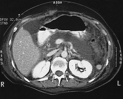
![]() | This computed tomographic (CT) scan with contrast of the abdomen reveals acute pancreatitis with decreased enhancement of the swollen pancreas as a result of the edema, hemorrhage, and fat necrosis. In this case, as a consequence of the inflammation, can be seen a splenic vein thrombosis. |
![]() |