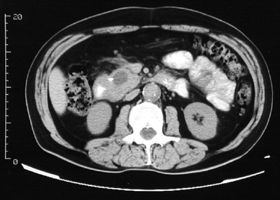
| This abdominal CT scan with contrast reveals a pancreatic pseudocyst, with a low attenuation liquefied center, in the head of the pancreas (at a lower level on CT than the pancreatic body or tail). This is not as common a location for a pseudocyst as the the tail or body of the pancreas. |
![]() |