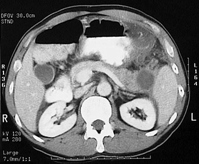
| This abdominal CT scan with contrast reveals a pancreatic pseudocyst, with a low attenuation liquefied center. This lesion is located in the tail of the pancreas next to the spleen. Inflammation with fluid collection extends to the adjacent omentum near the stomach. A pancreatic pseudocyst is a serious complication of pancreatitis. |
![]() |