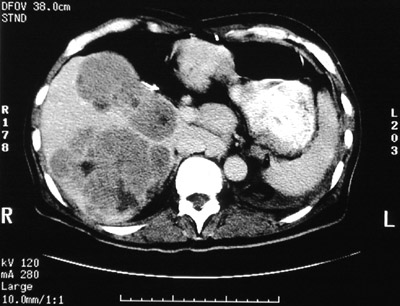
This abdominal CT scan demonstrates multiple variegated
mass lesions
, some with dark
central necrosis
, in a patient with widespread metastatic carcinoma. A
normal sized spleen
is seen at the lower left.