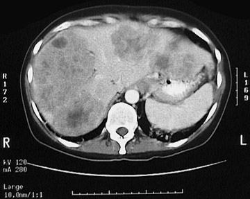
![]() | This computed tomographic (CT) scan without IV contrast of the abdomen demonstrates multiple darker mass lesions resulting in a markedly enlarged liver that extends from the right side to nearly the left side of the upper abdomen. These masses are metastases from a primary colonic adenocarcinoma. A normal sized spleen is seen at the lower left. Such mass lesions elevate the serum alkaline phosphatase, but the focal nature of the lesions means that the serum bilirubin is not elevated. |
![]() |