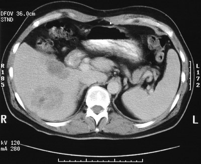
This abdominal CT scan demonstrates multiple subtle hepatic mass lesions in a patient with widespread metastatic carcinoma.