 |
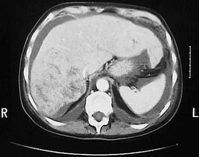
This abdominal CT scan in axial view demonstrates a large mass that occupies most of the posterior right lobe of the liver. This is an hepatocellular carcinoma. These cancers can appear as one large mass, or there may be small surrounding satellite nodules, or multifocal masses. The serum alpha-fetoprotein (AFP) is often elevated with hepatocellular carcinoma.
|