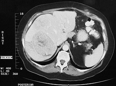
| This axial view abdominal CT scan demonstrates a large irregular mass in the right lobe of the liver. This is an hepatocellular carcinoma. Worldwide, the most common antecedent to development of this neoplasm is hepatitis B infection. Now that testing for hepatitis C is available, more of these cancers have been associated with this infection. |
![]() |