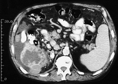
| This abdominal CT scan reveals an hepatocellular carcinoma, with areas of less attenuation from extensive tumor necrosis, involving the inferior margin of the right lobe of the liver. In the view above, this carcinoma has invaded through the liver capsule and extended to the abdominal wall. Note the presence of ascitic fluid as well. Hepatocellular carcinomas that rupture through the liver capsule may also produce a hemoperitoneum. |
![]() |