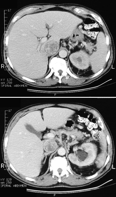
| There is invasion of a renal cell carcinoma into and up along the inferior vena cava which is distended by the neoplasm. It is possible surgically to remove such a tumor, which may even extend into the right atrium. The affected left kidney in which this neoplasm arose shows hydronephrosis in the upper pole. The upper panel is at a higher level. |
![]() |