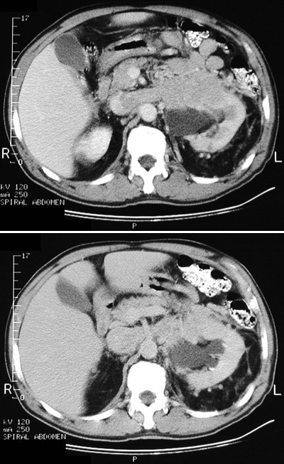
![]() | A renal cell carcinoma is seen here to be invading the left renal vein, distending the vein, and extending into the inferior vena cava. Renal cell carcinomas are known to exhibit this phenomenon. In the lower panel (at a slightly higher level in the body) the renal vein crowds the superior mesenteric artery. |
![]() |