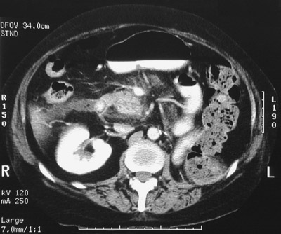
This axial CT scan of the abdomen reveals the
right kidney
, but the left kidney is absent following nephrectomy for renal cell carcinoma.