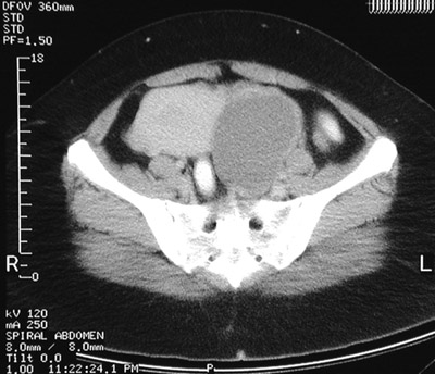
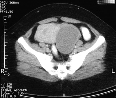
| These CT scan views of the pelvis demonstrate a uterus containing leiomyomata. The view above reveals a submucosal leiomyoma while the view below shows an intramural leiomyoma of the upper fundus. The fluid-filled structure on the left that is displacing the uterus to the left is an endometrioma of the ovary. |
![]() |