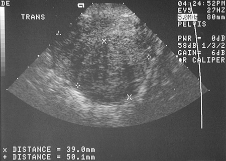
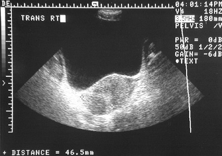
![]() | These pelvic ultrasound views above and below demonstrate a large posterior uterine leiomyoma (marked by the x and + cursors to give the size) measuring 4.6 x 3.9 x 5.0 cm. Note how circumscribed and rounded this tumor mass is. This leiomyoma was large enough to impinge upon the endometrial cavity and cause abnormal bleeding with menometrorrhagia. |
![]() |