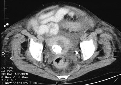
| There is a bright rounded mass in the uterus seen in this pelvic CT scan that represents a calcified leiomyoma. Leiomyomas tend to involute following menopause and become more fibrous, with some exhibiting dystrophic calcification. Note the small fluid collection in the endometrial cavity that occurs in some older women with cervical stenosis. |
![]() |