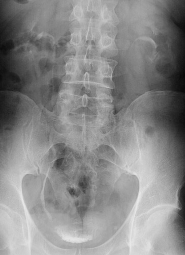
This intravenous pyelogram demonstrates a ureteral calculus at the vesicoureteral junction on the left where there is a filling defect. A closer view is seen below.