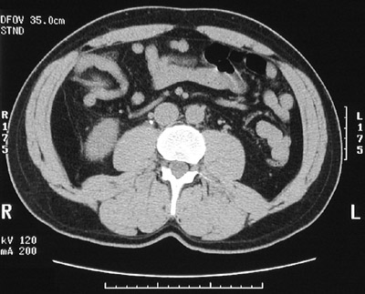
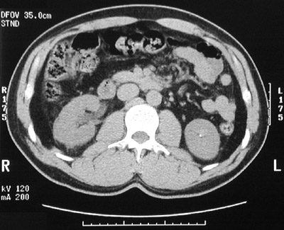
| These two abdominal CT scan views show a calyceal calculus within the left kidney. In the view below, a tiny calculus is seen in the region of the mid-right ureter. Straining the urine to catch the stone can be done so that the stone can be sent for chemical analysis. Determination of the cause for urinary tract calculi can help to provide treatment to prevent the calculi becoming a "renewable natural resource." |
![]() |