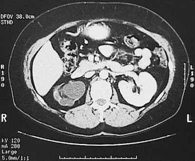
This abdominal CT scan with contrast demonstrates marked right hydronephrosis as a consequence of ureteral obstruction.