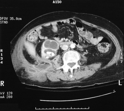
These abdominal CT scan views with contrast demonstrate a
staghorn calculus
filling a dilated calyx along with
marked hydronephrosis
as a consequence, extensive pyelonephritis resulted, and the infection produced an
abscess extending to the flank
.