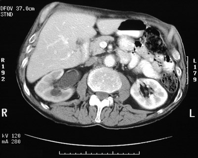
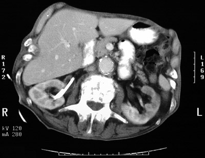
| This abdominal CT scan with contrast demonstrates right hydronephrosis as a consequence of ureteral obstruction. The pelvis and proximal ureter are dilated. The view below was obtained after placement of a stent from bladder to ureter to provide drainage. The stent is bright. |
![]() |