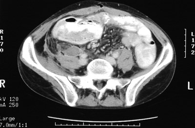
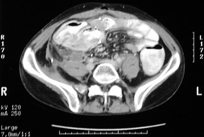
| Here are two views of an abdominal CT scan which reveal inflammatory changes in the right lower quadrant in the region of the cecum that resulted from neutropenic colitis. This immunocompromised state, which can occur with leukemia, chemotherapy, and other conditions that reduce the number of neutrophils, predisposes to inflammation, particularly in the region of the cecum. |
![]() |