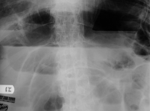
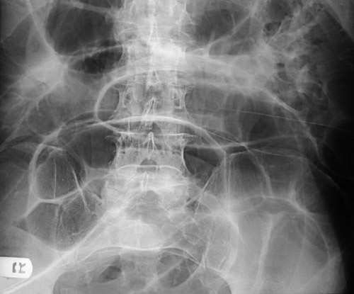
![]() | This abdominal radiograph demonstrates many loops of small bowel dilated with air as a consequence of bowel obstruction from cecal volvulus. In the magnified view below, air-fluid layering is present in the loops of bowel as a consequence of the ileus (lack of peristalsis). |
![]() |