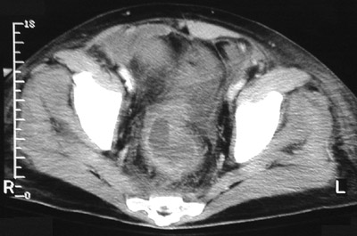
| The sigmoid colon seen in this pelvic CT scan reveals a thickened bowel wall. There has been prior bowel resection and this remaining segment continues to demonstrate changes associated with pseudomembranous colitis. This patient's stool was positive for Clostridium difficile toxin. He had received high-dose, broad spectrum antibiotic therapy for several weeks. |
![]() |