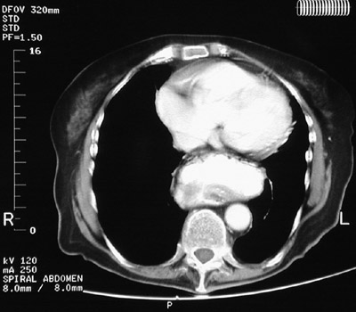
| The chest CT scan shown here demonstrates another hiatal hernia with a dilated portion of gastric fundus extending through a widened esophageal hiatus into the lower chest. Many hiatal hernias are associated with gastroesophageal reflux--but not all. Many cases of gastroesophageal reflux are associated with a hiatal hernia--but not all. |
![]() |