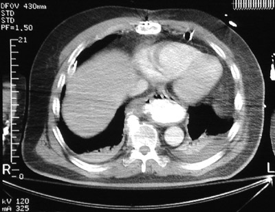
| In this chest CT scan there is dilation of the lower esophagus merging into the upper gastric fundus, filled with bright contrast, representing a hiatal hernia. This condition may be associated with gastroesophageal reflux. The diaphragmatic hiatus is large enough for a portion of stomach to "slide" through the larger opening. |
![]() |