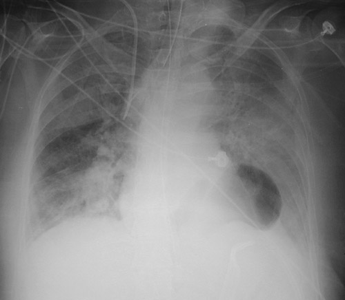
| This AP chest radiograph demonstrates an air-filled structure just above the diaphragm. This is a portion of the stomach that has herniated through the esophageal hiatus, producing a paraesophageal hernia. This is a rare event, but a serious one, because the gastric wall will become infarcted. |
![]() |