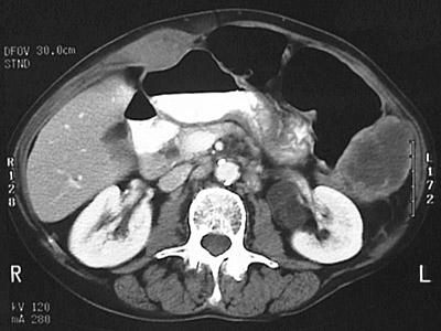
![]() | This abdominal CT scan reveals metastases in the abdominal wall, the left pericolic gutter, the liver hilum adjacent to the gallbladder, and in the retroperitoneum next to the left kidney. The colon is dilated as a consequence of partial obstruction. |
![]() |