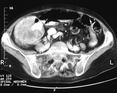
The large mass lesion seen in this abdominal CT scan with contrast is a large adenocarcinoma arising in the cecum. Cecal carcinomas often become bulky masses and may first be manifested by iron deficiency anemia from blood loss.