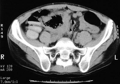
There is a mass with a central lumen in this abdominal CT scan. This proved to be a large B cell lymphoma involving the sigmoid colon in a patient with AIDS.